Smiline Dental Hospital provides a range of orthodontic solutions tailored to meet diverse needs and preferences.
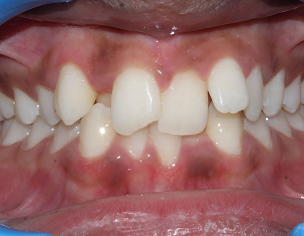
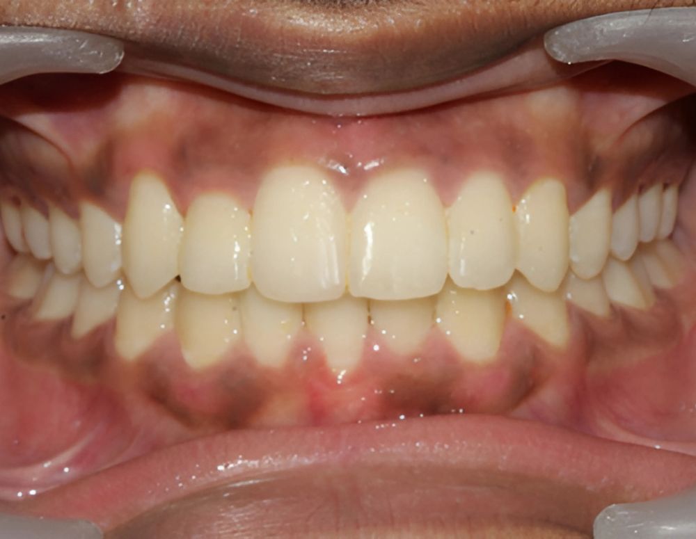
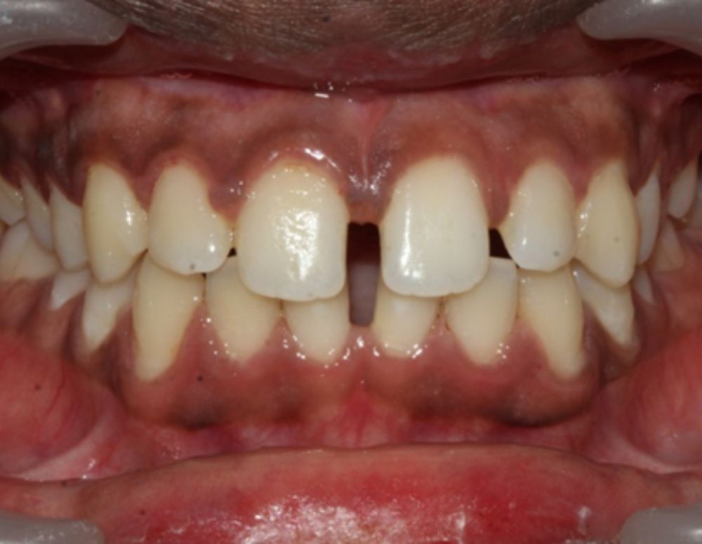
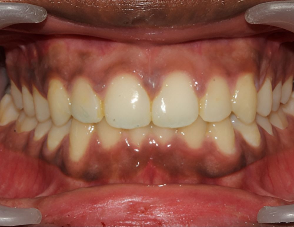
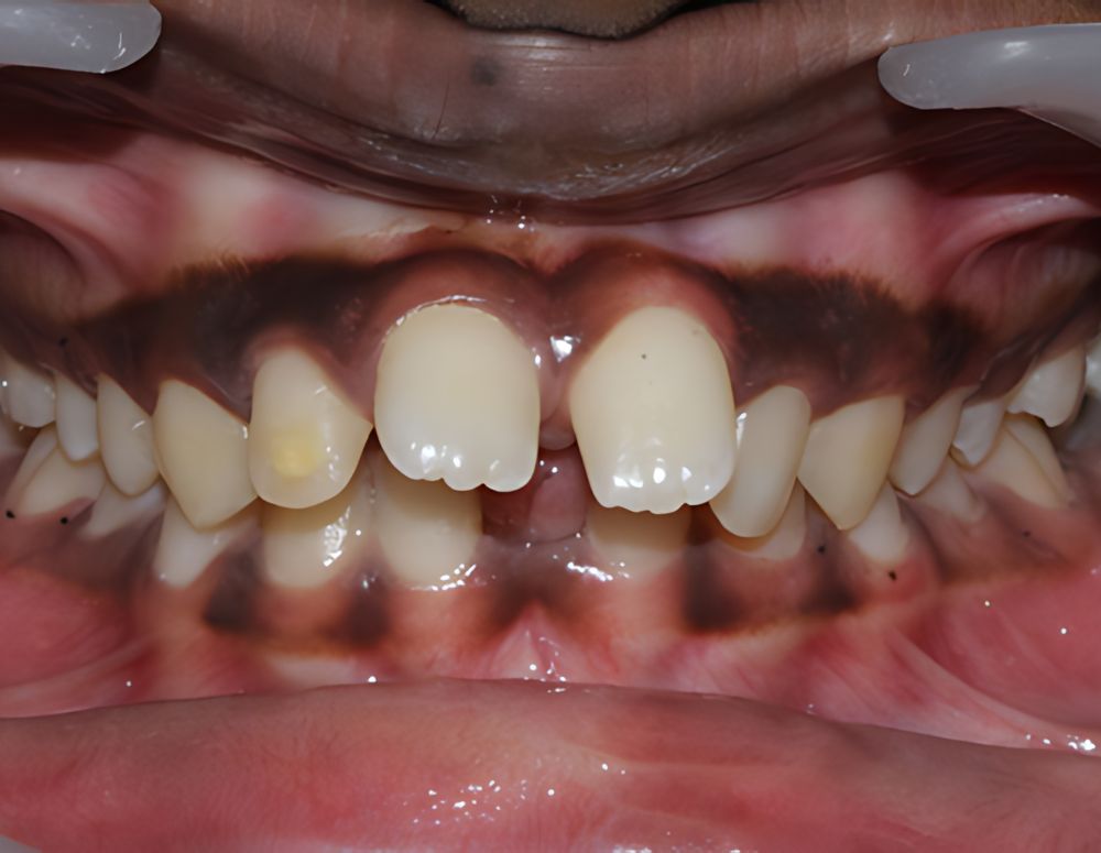
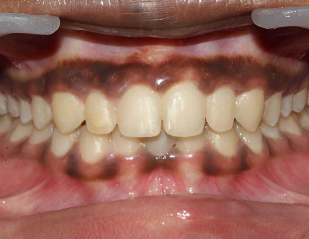
A few cases of correcting misalignment issues and straightening teeth with dental braces.






Braces are your way to a straighter, healthier smile! By investing in braces, you’ll not only improve the alignment of your teeth, but also enhance your overall oral health.Â
Our expert orthodontic solutions can help you achieve the smile of your dreams with braces.
Don’t wait – take the first step towards a smile that shines!Â
Contact us today to schedule a consultation and discover the transformative power of braces for yourself.

Our dental service is built on years of expertise, delivering exceptional care across various specialties. From enhancing smiles to providing advanced dental solutions, we are dedicated to improving oral health and patient satisfaction every day.
Yes, clear braces are an excellent choice for adults seeking a discreet way to straighten teeth. Smiline offers the best invisible braces for adults, ensuring comfort and effectiveness.
The cost of braces varies based on treatment needs. We offer affordable braces for adults and teens, with clear pricing and flexible payment options.
We offer traditional metal braces, clear metal braces, and a variety of other options tailored to patient needs. Our orthodontists ensure the best braces for your teeth, using high-quality materials.
Absolutely! With experienced orthodontists and a wide range of options like metal, ceramic, lingual braces, and clear aligners/Invisalign.Smiline is one of the top dental clinics in Hyderabad for adult braces and orthodontic care.
Schedule your visit with ease. Book an appointment online or call us today for personalized dental care at Smiline.